Today everyone wants a beautiful SMILE fast!
VENEERS
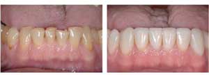
VENEERS can be a highly economic solution to otherwise expensive dental flaws
When a person feels and looks good, they have a strong self-image and are more confident. People who feel good about themselves interact positively with family, friends and business contacts. A beautiful, confident smile plays a significant role in your self-image and self confidence!
These advances in modern dentistry make it easy to restore a life-like beauty to teeth that are stained, chipped, crooked, missing or separated by a wide space.
Durable and color-stable, Porcelain Veneers are an excellent cosmetic remedy for a variety of dental conditions that affect the appearance of your front teeth. Durable and color-stable, veneers are in many cases, the perfect way to restore the natural function and beauty of your teeth, so you can smile with confidence again!
Veneers, usually made of porcelain, are a thin, semi-translucent "shell" custom made to fit precisely over an existing tooth. They are permanently bonded, held in place by a special resin that adheres the back of the veneer to the front of the tooth. The finished result is extremely strong and durable. Though veneers are not suitable for every Patient, they are a cosmetic alternative for a variety of dental conditions affecting the front teeth, including:This procedure usually needs two appointments, 2 weeks apart. The length of each appointment varies based on the number of veneers, and in between the two visits, you will have temporary veneers for your comfort and convenience.
- Closing diastemas (spaces between the teeth)
- Restoring broken or chipped teeth
- Covering unsightly, stained or washed-out fillings
- Whitening permanently stained or discolored teeth
- Correcting uneven or crooked teeth
- ...and more!
Ask us about Porcelain Veneers
Ask us about fixing your Tooth wear![]()
Follow us on
Facebook!
Like and shareWe have new posts all the time, find out more about our staff and our promotions
Add us on
Snapchat
Exclusive offersWe have exclusive offers on Snapchat
Check in on
Yelp
Add a picture or twoWrite a great review or let us know what we could improve!
We are partners with CareCredit and we can offer an 'in house" plan with discounted fees!
Apply for a payment plan with a no interest (same as cash) promotion up to 2 years!









