That can result in teeth loss
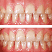
Periodontal (or Gum) Disease is an infection of the tissues surrounding and supporting the teeth, that is silently affecting over 50 million Americans, most of whom are not even aware they need to be seeking treatment.
It is a very serious disease that can result in tooth loss, but it is generally painless, so most people might not know they even have it, or ignore it until it‘s too late.
What Causes Gum Disease?
The main cause of periodontal disease is bacterial plaque, the sticky, colorless film that constantly forms on your teeth. This plaque causes your gums to become swollen and tender. The plaque builds up on the teeth, causing the gums to become red and sensitive. In this early stage, it is known as gingivitis. Surprisingly, gingivitis is very common, it affects more than 50% of the people. Gingivitis is a reversible condition if you follow a daily hygiene routine: Flossing and brushing your teeth daily and using non-alcohol mouthwash.
Discover minimally invasive LASER Gum Treatment and bacterial reduction for less pain and faster healing! We use Waterlase and Biolase Epic-X Lasers.
Untreated gingivitis can advance to periodontitis, in which the gums separate from the teeth, forming pockets (spaces between the teeth and gums). When the bacterial plaque enters into these pockets, the area becomes infected. Although there isn't much pain associated with gum disease, the consequences can be just as serious and discomforting, and it shouldn't be ;left untreated.![]()
Gum disease is silently affecting over 50 million Americans, most of whom are not seeking treatment. Are you one of them?
Contact us
Call or text 949-425-1447. or book online
Contact us
Call or text 949-425-1447. or book online
Crown Lengthening, Gum Re contouring, Receding Gums
Gum disease is silently affecting over 50 million Americans, most of whom are not seeking treatment. Are you one of them?
Crown Lengthening for Gummy Smiles or too short Teeth
Sometimes a smile shows too much gums, or teeth appear to be too small. Both cases are caused by too much gum tissue covering the teeth. Dr. Preda uses a gentle Waterlase Express or EpicX Lasers to eliminate excess gum tissue.
Too-short teeth and a gummy smile are generally the same thing. Teeth can appear too short because there is too much gum covering them. Using a soft-tissue Laser, Dr. Preda removes the excess gum tissue and the bone tissue is reshaped to expose more of the natural tooth. Crown lengthening is also used when there is insufficient tooth structure for a restoration such as a crown or a bridge.![]()
Laser Gum Recontouring for an uneven gum line
Dr Preda can gently even out your gum line using a special soft-tissue Laser.
Using the same type of procedure as Crown Lengthening, we can remove gum tissue and reshape it to even out the gum line.
Receding Gums or Teeth that are too long
Dr. Preda can also graft gum tissue over the visible roots and return your Smile to a healthy and natural look.
Receding gums, or gingival recession, happens when the roots of the teeth become exposed. Apart from the unappealing look, receding gums can also be one of the first signs of gum disease.
Dental Bonding
Dental Bonding is tooth-colored composite resin material that is directly applied to teeth to repair problems with the teeth, such as chips, cracks, gaps and discoloration.
Dental bonding is often used for the many of the same purposes as Veneers, as well as fillings, and it's applied to Teeth to augment them, such as in repairing chips, or to cover teeth, or to whiten discolored Teeth. It requires no anesthesia and very little Tooth preparation. Dental Bonding is considerably more economical than porcelain veneers but can be less durable. However, Dr. Preda has a lot of experience in Dental Bonding for cosmetic purposes, and can create a very natural, appearing, durable finish that can last as long as a Veneer with proper care.
Follow us on
Facebook!
Like and shareWe have new posts all the time, find out more about our staff and our promotions
Add us on
Snapchat
Exclusive offersWe have exclusive offers on Snapchat
Check in on
Yelp
Add a picture or twoWrite a great review or let us know what we could improve!










