New safety measures and protocols in place
By Ruxandra Preda DDSWe have the toughest measures and protocols in place to to put our Patients at ease when it comes to infection control and limit of virus spreading. We are set up for a Virtual Waiting Room, we ask Patients to call/text us when they park and we'll invite them in for screening questions, temperature and testing. We ask everyone to wear a face covering, we'll provide a mask if you don't have one... (Read More)
Invisalign in 6 to 8 months? Well, yes we can!
By Ruxandra Preda DDSInvisalign (or clear braces) has been around for a while now and it was recommended to straighten teeth for adults, since the clear aligners are barely visible to others and hardly noticeable for yourself. It's a piece of clear plastic that covers and moves your teeth, then you get another one that moves your teeth even further, and so on. The treatment takes usually almost 2 years long, depending on the complexity of your case and that's what most dentists will tell you.... (Read More)
Re-opening
By Ruxandra Preda DDSRe-opening our office is a little bit challenging, a little bit rewarding! It's good to see that Patients are eager to get their regular cleanings done and maintain a good oral health! It's also good to see that Patients are scheduling work that they put off for a while, even looking into some cosmetic treatments too... (Read More)
Older blog posts
The value of a beautiful smile!
By Ruxandra Preda DDSI hope more people would see their beautiful, healthy, trusty smile as an investment, as important as your house or fancy truck. If not more important, since they might only see your house once or twice a year, and you car maybe once or twice a week. But they will see your bright white smile all the time they are with you, and that might be 8 hours a day at work! Or they might just see it once at an important meeting or a sales visit if they are your customer, but that would make a great difference in the outcome...... (Read More)
Corona Virus
By Ruxandra Preda DDSAlthough we hope our small community in Aliso Viejo will be spared of the big pandemic of the century (so far!). In our office we take every precaution to keep our Patients safe and healthy, we use the particle vacuum for every Patient, and that filters....... UPDATE: We only do Teledentistry (remote appointments) at this point and schedule in-office appts for May, and life threatening emergencies, see more info on our website (Read More)
Why we stand out
By Ruxandra Preda DDSWe like to stand out, so we improved our office, our services and team, we updated our tools and procedures, and raised the bar! So here are a few reasons why you should chose us when you are looking for a new dentist, or when going to the same old same old place doesn't cut it any more. Because let's be honest, if they didn't tell you that you could take care of a cracked tooth when it was still treatable instead of needing an implant - they didn't do their job right..... (Read More)
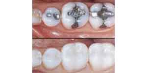
Amalgam is fazing out
By Ruxandra Preda DDSAmalgam was used in dentistry since forever, but lately it has been the subject of a lot of controversies and criticism. In an era when we are trying to be more health-conscious and more environmentally friendly - it is harder and harder to justify the use of amalgam any more. If this is the first time you hear about it - here is the skinny: amalgam is 50% mercury, now google "Is mercury toxic?" and brace yourself for some nightmares.... (Read More)
How to chose an insurance plan?
By Ruxandra Preda DDSHow do I chose an insurance plan correctly? First you should know your needs, and then chose an insurance plan tailored to your specific condition. We advise our Patients about their insurance plan depending on their specific needs. You can also consider getting a second insurance plan and use it as primary (or secondary, depending on preferred coverage)...... (Read More)
Low Radiation X-Rays
By Ruxandra Preda DDSA lot of materials and equipment changed for the better lately, they are more health-conscious and environmentally friendly. Between the BPA free resin to low radiation x-ray machines there are a lot of improvements in dental offices in the last decades. We use digital sensors connected to computers these days instead of films for example, since they need less radiation and have instant exposure. Meaning that you can see the x-rays on the screen in just a second, and you can enlarge or change the contrast and brightness to be able to see the smallest cracks or cavities..... (Read More)
What is preventive care?
The skinny? Preventive healthcare (or prophylaxis) refers to measures taken to prevent illnesses or diseases, as opposed to treating them. That is because cavities, and oral health problems begin way before individuals realize they are affected. That's why if you miss your regular cleanings you might need a deep cleaning, which is way more expensive and not covered by insurance! All that for missing a 1 hour visit with a Hygienist every 6 months or so! (Read More)
The health and looks of your teeth and the perceived social status
Good teeth have always been an indicator of good hygiene and health, but lately it's also an indicator of how wealthy you might be. Recent studies even show that bad teeth might hamper social mobility or status for certain people as rising healthcare costs directly affect people and how they have access to dental treatment or orthodontists or if they would pay for cosmetic dentistry...(Read More)
How to get whiter teeth ?
Our teeth naturally lose their white color as we age, from external influences such as coffee, tea, red wine, soy sauce, caramel color, chocolate, smoking etc. a teeth whitening procedure will have a lot of cosmetic and medical benefits for your teeth, but not only that. The increased awareness for a healthy smile rapidly changes your hygiene habits for the better! As a result, Patients generally have significant improvements in oral and systemic health just from whitening their teeth! Having your teeth whitened makes you feel good, it's like wearing a great outfit or a wonderful accessory!
(Read More)
How to support local businesses during Shelter In Place
By Ruxandra Preda DDSWe offer teledentistry - Virtual Consultations. We use a HIPAA compliant video platform called doxi.me for a Facetime-like conversation in order to asses our Patients oral health and to follow up on their treatment...... (Read More)
Keep your cleaning appointments to avoid "deep cleanings"!
By Ruxandra Preda DDSYour dentist office called to remind you of your next cleaning or Hygiene appointment you booked almost 6 months ago when you had your last cleaning. You totally forgot about this appointment (that card they gave you is somewhere in your car or at home with all the junk mail) and you look at your calendar and realize you can't make it. How often does this happen? Pretty often, considering how many Patients miss their dental cleaning appointment... (Read More)
#Selfies
Pictures are proof that we were "there", that we had a great time with our friends, proof that we are happy and enjoying life to the max! That's why we started taking selfies, because they were instant and reflected our happiness in that moment! That's how Instagram popped up, then SnapChat and all the filters that made us look funny and put a smile on everyone's faces! (Read More)
How does dental insurance work?
By Ruxandra Preda DDSMost people get their dental insurance through their employers, together with their medical insurance. PPO dental plans are relatively inexpensive and they usually cover your cleanings and basic preventive procedures. They also cover part of your bigger treatments, like crowns or even implants. Most dental PPO insurance plans have a maximum of $1500 per year... (Read More)
"In-house" Discount plans
By Ruxandra Preda DDSWe offer a discount plan for Patients with no insurance, that offers some preventive services at no cost and a discount for other, more common procedures. There is an annual fee, depending on your needs, for 1 person or for the whole family. This is great for our Patients since it encourages them to keep their preventive, cleaning appointments with their dentist, and also offers a discount for other cosmetic or restorative procedures, which comes in handy.... (Read More)
Clean your tongue
The tongue harbors bacteria and food particles trapped under a thin layer of mucus. Remove this odor-causing buildup by using a small dab of toothpaste and carefully brushing the top of the tongue. Start by reaching to the back of the tongue, and then work toward the front. Make sure you brush the entire surface of the tongue using gentle pressure and finish by rinsing with water.(Read More)
#Selfies
Pictures are proof that we were "there", that we had a great time with our friends, proof that we are happy and enjoying life to the max! That's why we started taking selfies, because they were instant and reflected our happiness in that moment! That's how Instagram popped up, then SnapChat and all the filters that made us look funny and put a smile on everyone's faces! (Read More)
